- Présentation:
- Changements subtils dans la répartition du poids pendant la marche (par exemple, légère contrainte suspensive proximale)
- Boiterie sans mise en charge qui provoque une détresse grave (par exemple, fracture)
- Boiterie mécanique sévère sans douleur (par exemple, myopathie fibreuse)
- Différentiels :
- Traumatique:
- Fracture
- Blessure des tissus mous
- Fourbure
- Corps étranger
- Semelle/talon meurtris
- Fatigue musculaire
- Hygrome
- Arthrose
- Congénital:
- Ostéochondrose (ou ostéochondrite disséquante)
- Déformation angulaire des membres
- Infectieux:
- Abcès du pied
- Articulation septique, gaine tendineuse ou bourse
- Cellulite
- Maladie de la ligne blanche, muguet, abandon, chancre
- maladie de Lyme
- Métabolique:
- Fourbure
- Myopathie
- Mécanique:
- Stringhalt
- Myopathie fibrotique
- Fixation intermittente de la rotule vers le haut, libération rotulienne retardée
- Circulatoire/autre :
- Fourbure
- Syndrome naviculaire
- Mauvais équilibre/ferrage du sabot (surtout en plus d'une mauvaise conformation)
- Silicose
- Arthrose
- Kératome
- Traumatique:
- Histoire:
- Une histoire approfondie comprend ces questions importantes :
- Durée?
- Début (par exemple, soudain, progressif) ?
- Avez-vous déjà eu une boiterie ou une maladie récente (une forte fièvre, etc. pourrait entraîner une fourbure) ?
- Traitements/prise en charge de cette boiterie et résultats ?
- Niveau de travail ?
- À quand remonte le dernier ferrage/parage ?
- Qu’est-ce qui l’exacerbe ?
- Une histoire approfondie comprend ces questions importantes :
- Examen:
- REGARDEZ le cheval bouger :
- Observer de face, de côté et derrière
- Pas, trot, +/- galop
- En ligne droite, +/- sur une ligne de fente
- Sur surface dure et molle
- À la main ou sous la selle
- Un bon examen prend souvent beaucoup de temps selon la gravité de la boiterie
- Échelle de boiterie AAEP (1-5) : utilisée par tous les praticiens aux États-Unis
- Perceptible uniquement dans certaines conditions (par exemple, sous la selle, au galop sur une certaine laisse, en effectuant des mouvements spécifiques)
- Constamment perceptible dans certaines circonstances (par exemple, un cercle au trot)
- Constamment perceptible en ligne droite et en cercle au trot
- Toujours perceptible lors d'une promenade
- Sans roulement de poids
- Boiterie des membres antérieurs : rappelez-vous "DOWN ON SOUND"
- La tête se relève quand un membre boiteux touche le sol
- La tête descend lorsque la jambe saine touche le sol
- Boiterie des membres postérieurs : Plus difficile à évaluer
- Le sacrum/bassin monte (ou bouge davantage) lorsque le membre boiteux touche le sol et tombe lorsque le membre sain touche le sol.
- Peut avoir une tête controlatérale avec une boiterie sévère des membres postérieurs
- Palpation :
- Membres, articulations, tissus mous, cou, dos et musculature
- Recherchez de la chaleur, de la douleur, un gonflement, un épanchement
- Comparer avec le membre controlatéral
- Observation :
- Asymétries musculaires
- Chez un cheval présentant des signes neurologiques multifocaux, une atrophie musculaire asymétrique peut être évocatrice d'une myéloencéphalite équine à protozoaire (EPM)
- Surveillez la longueur de la foulée - souvent raccourcie dans la jambe boiteuse
- Plaies ou cicatrices
- Position au repos
- Usure sur les sabots/chaussures et conformation du sabot
- Asymétries musculaires
- Flexions : Pour aider à localiser la source de la boiterie
- Membre antérieur distal, carpe, +/- épaule
- Membre postérieur distal, jarret/membre entier, grasset
- Utilisez une pression et une durée constantes
- Testeurs de sabots : Pour aider à localiser toute douleur au pied
- Utilisez une technique cohérente sur :
- Bout, quartiers
- À travers les talons et la grenouille
- Utilisez une technique cohérente sur :
- Précautions :
- NE forcez PAS le cheval à faire de l'exercice/à bouger pour l'examen si...
- La boiterie est grave - ou -
- Une fracture est suspectée :
- NE PAS utiliser d'analgésie régionale/blocage nerveux dx !
- Faire marcher le cheval sur ses membres peut aggraver la situation
- Une fracture incomplète peut devenir complète - ou -
- Une fracture fermée peut devenir une fracture ouverte
- NE forcez PAS le cheval à faire de l'exercice/à bouger pour l'examen si...
- Regardez cette vidéo d'examen de boiterie du Dr De La Cruz :
- Anesthésie régionale (c'est-à-dire blocs nerveux) :
- Localiser la boiterie dans une région anatomique spécifique :
- Lidocaïne (durée d'effet de 30 à 45 minutes)
- Mépivicaïne (durée 90-120 min)
- Bupivicaïne (durée 4 à 6 heures)
- Si la boiterie disparaît après un bloc nerveux, le problème se situe au niveau ou en aval du site de cette injection.
- Commencez généralement de manière distale et travaillez de manière proximale, SAUF :
- Suspecter une articulation spécifique sur la base de l'examen
- N'oubliez pas que 90 % de toutes les boiteries équines se situent au niveau du pied !
- Il existe de nombreuses techniques ; être cohérent
- Localiser la boiterie dans une région anatomique spécifique :
- Imagerie :

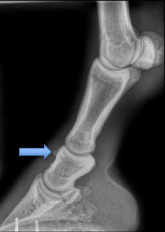
Radiographie latérale de l'arthrite de l'articulation interphalangienne proximale. La flèche montre l'ostéophytose de P2 proximale 
Lésion centrale du tendon fléchisseur superficiel du doigt (SDFT) dans le métacarpe proximal avec zone centrale hypoéchogène (flèche) et diamètre élargi (délimité grossièrement) - Radiographie:
- Idéal pour les lésions osseuses
- Peut être effectué sur le terrain ou en clinique
- De bonnes images nécessitent :
- Un bon positionnement - et -
- Au moins 2 vues dans 2 plans
- Utiliser le membre controlatéral pour comparer, si nécessaire
- Echographie :
- Idéal pour les lésions des tissus mous, certaines lésions osseuses et l'évaluation des plaies
- Peut fonctionner sur le terrain ou en clinique
- L'utilitaire de diagnostic est en corrélation avec l'expérience utilisateur
- Peut être comparé au membre controlatéral, si nécessaire
- Idéal pour les lésions des tissus mous, certaines lésions osseuses et l'évaluation des plaies
- Options d'imagerie supplémentaires :
- Scintigraphie nucléaire (alias « scintigraphie osseuse ») :
- Idéal pour les lésions osseuses
- Utile lorsque la boiterie ne peut pas être localisée ou qu’il y a plusieurs membres boiteux
- Nécessite une référence et un séjour à l’hôpital
- Imagerie par résonance magnétique (IRM) :
- Idéal pour les lésions des tissus mous, mais également utilisé pour les lésions osseuses
- Nécessite une référence et une sédation ou une anesthésie générale
- Tomodensitométrie (TDM) :
- Idéal pour les lésions osseuses
- La tomodensitométrie avec contraste peut être utilisée pour les lésions des tissus mous
- Nécessite une référence et une sédation ou une anesthésie générale
- Scintigraphie nucléaire (alias « scintigraphie osseuse ») :
- Radiographie:
- Larges options de traitement :
- Repos puis rééducation (y compris natation en piscine)
- Anti-inflammatoires non stéroïdiens (AINS) :
- "Bute" (phénylbutazone), flunixine méglumine, firocoxib
- Relaxants musculaires (méthocarbamol)
- Injections articulaires :
- Stéroïdes
- Acide hyaluronique
- Thérapies autologues :
- Plasma riche en plaquettes (PRP)
- Cellules souches (SC)
- Sarapine
- Protéine antagoniste des récepteurs de l'interleukine-1 (IRAP)
- Cryothérapie
- Bandage
- Thérapie par ondes de choc :
- Augmente la guérison
- Diminue la douleur et l’inflammation
- Augmente la néovascularisation
- Augmente l'ostéogenèse
- Thérapie régénérative des lésions des tissus mous : PRP, SC
- Chirurgie : Arthroscopie, chirurgie des tissus mous
- Ferrage/garnitures thérapeutiques
- Thérapies complémentaires :
- Massage
- Chiropratique
- Acupuncture
Images fournies par Aljabakphoto (chevaux sauvages), Travail personnel (course avec cheval), Numéro 1963 (cheval en fente), VetMoves.com (tendons arqués), Nora Grenager, VMD, DACVIM (corps étranger de l'ongle, atrophie des muscles fessiers, orteil long avec talon bas, testeurs de sabots, radiographie d'un clou dans le sabot, cryothérapie), Jonathan Hirsch, DVM, DACVS (radiographies de fractures et d'arthrite), Scott Anderson, DVM (échographie de SDFT), Horseexperts (tapis roulant) et bianditz (image du bas de chevaux) .
Top Topic Category
Équin









